TẠI SAO SIÊU ÂM GAN CÓ THỂ CHUẨN ĐOÁN ĐƯỢC UNG THƯ
Ung thư gan là một trong những biến chứng nguy hiểm trong tất cả các bệnh về gan. ung thư gan bao gồm Ung thư gan nguyên phát phần lớn là ung thư tế bào gan (hepatocellular carcinoma - HCC) hoặc tế bào ống mật (cholangio carcinoma), còn ung thư gan thứ phát là do di căn từ ung thư ở nơi khác đến gan như ung thư dạ dày, ung thư đại tràng, ung thư buồng trứng, ung thư tụy…
Ung thư gan là bệnh có tiên lượng xấu, thời gian sống trung bình từ khi phát hiện khoảng 6 tháng. Chỉ có khoảng 1% người ung thư gan có nguy cơ sống sót sau 5 năm.
.Siêu âm là 1 xét nghiệm chẩn đoán ung thư gan thông thường nhất được sử dụng để phát hiện ung thư gan. Độ nhạy cảm của xét nghiệm này là 68%-87% (tức là hễ 100 người có khối u trong gan được siêu âm thì có 68-87 người được phát hiện) .thông qua siêu âm gan chúng ta hoàn toàn có thể đánh giá được mức độ tổn thương cấu trúc bề mặt gan.
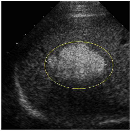
Một người bị ung thư khi siêu âm gan sẽ thấy gan to toàn bộ hoặc riêng 1 thùy hay phân thùy, mặt gan gồ ghề nếu u nằm ở lớp nông, góc dưới và góc bên của gan mở rộng và tù. Trong trường hợp u bị hoại tử, sẽ thấy hình 1 khối đặc ở giữa rỗng, bờ hốc rỗng dày và không đều.

Nếu ung thư gan phát triển trên gan lành, hình nhu mô gan xung quanh bình thường, còn nếu ung thư xuất hiện trên gan xơ sẽ có dấu hiệu siêu âm của xơ gan kèm theo.
Ngoài đánh giá về hình dạng, vị trí, số lượng, kích thước khối u gan, siêu âm còn giúp hướng dẫn cho các biện pháp điều trị ung thư gan (cắt gan, tiêm diệt u qua da). Tuy nhiên siêu âm không cho biết bản chất khối u, tình trạng dịch ổ bụng và hạch to. Siêu âm doppler cho phép đánh giá tình trạng cấp máu của khối u, tình trạng khối u xâm lấn và di căn vào các mạch máu lân cận, đặc biệt là tĩnh mạch cửa và tĩnh mạch chủ dưới.
Bên cạnh việc hỗ trợ đắc lực trong việc chuẩn đoán căn bệnh ung thư thì siêu âm còn được sử dụng trong việc điều trị căn bệnh nguy hiểm này. Thông qua các hình ảnh siêu âm các bác sĩ có thể biết được tình trạng các khối u trong gan như thế nào, phương pháp điều trị có hiệu quả hay không từ đó có biện pháp xử lý kịp thời.
KHI SIÊU ÂM PHÁT HIỆN UNG THƯ NÊN LÀM GÌ
Theo các bác sĩ phòng khám đa khoa Hồng Phong, siêu âm được ứng dụng phổ biến trong quá trình chuẩn đoán và điều trị ung thư gan tuy nhiên phương pháp này không thể đánh giá đầy đủ và toàn diện được tình trạng bệnh mà cần kết hợp với các phương pháp kiểm tra khác.
Thông thường siêu âm còn cho ra kết quả dương tính giả với ung thư, cứ hễ 100 người được cho là thấy khối u ở gan trên siêu âm thì có thể có từ 28-82 người thực tế không phải mắc ung thư gan vậy nên khi siêu âm cho kết quả ung thư bệnh nhân không nên quá lo lắng mà nên tiến hành thêm các xét nghiêm chuyên sâu khác để cho ra kết quả chính xác nhất.

Để có thể đánh giá được chính xác nhất tình trạng gan, bệnh nhân nên lựa chọn các bác sĩ giỏi có chuyên môn cao cùng với các trang thiết bị hiện đại nhất qua đó mới có thể đem lại kết quả đúng giúp chữa trị đúng bệnh, đúng người.